30 апреля 2025, 14:22
Новости здравоохраненияПодмосковные врачи спасли трехдневного младенца с редкой грыжей спинного мозга

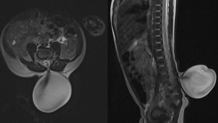
Фото: министерство здравоохранения Московской области
Специалисты Детского клинического центра имени Рошаля оказали помощь новорожденному мальчику, поступившему в медучреждение на третий день жизни с редкой патологией. Об этом сообщили в пресс-службе Минздрава Подмосковья.
По итогам магнитно-резонансной томографии врачи диагностировали малышу "менингомиелоцеле" – грыжу спинномозгового канала, при которой происходит выпячивание тканей и вещества спинного мозга через костный дефект позвоночного столба.
В ведомстве отметили, что выявленная грыжа могла привести к серьезному ослаблению силы мышц ног юного пациента. С учетом высокого риска неврологических осложнений медики приняли решение о проведении операции.
В ходе хирургического вмешательства, продолжительность которого составила два часа, специалисты аккуратно отделили спинной мозг от грыжевого мешка и восстановили нормальную анатомию позвоночного канала. Процедура прошла успешно и не вызвала осложнений у ребенка.
В данный момент малыш чувствует себя хорошо. Его выписали из больницы на седьмые сутки после вмешательства.
Ранее стало известно, что в Красногорске врачи провели успешную операцию по извлечению трех монет из желудка пятилетней девочки.




















