18 ноября 2025, 15:31
Новости здравоохраненияКрасногорские хирурги спасли младенца с редкой генетической болезнью

Фото: министерство здравоохранения Московской области
Врачи Детского научно-клинического центра имени Рошаля спасли жизнь четырехмесячной девочки, поступившей в медучреждение в тяжелом состоянии с судорожным приступом. Об этом сообщили в пресс-службе Минздрава Подмосковья.
По информации ведомства, во время обследования у ребенка обнаружили выпирающий родничок, увеличенный размер головы и превышение нормальной концентрации аммиака почти в пять раз.
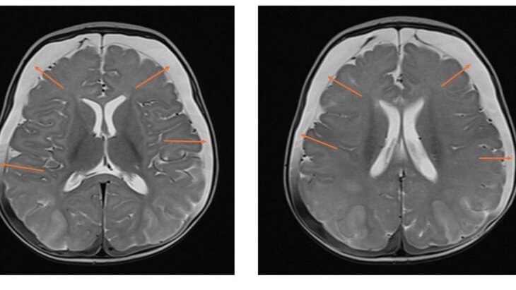
В результате МРТ медики выявили следы перенесенных кровоизлияний и серьезное нарушение кровоснабжения головного мозга. Девочке диагностировали ННН-синдром – редкое генетическое заболевание, при котором организм не способен перерабатывать белок, что приводит к отравлению мозга аммиаком.
Благодаря правильно подобранной лекарственной терапии специалистам за 24 часа удалось прекратить поступление белка и снизить уровень аммиака до безопасных значений, предотвратив необратимое повреждение мозга.
В ведомстве отметили, что после стабилизации состояния девочку выписали домой на амбулаторное лечение.
Ранее стало известно, что в Москве хирурги удалили более 100 камней из почек 51-летней пациентки.
Корегин Владислав



















